Solitary Brain Metastases Cases


Case 1

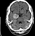
A 77 year old man with known history of metastatic melanoma, confirmed by PET/CT presents witha 2 cm. brain mass. He declines additional systemic treatment.

This is a melanoma. The patient is symptomatic.

What is your recommendation:

This patient has several options available:

Next step: consult neurosurgeon who feels this would be a high risk area to resect.

Next step?

If the patient is not a neurosurgical candidate, then clearly the surgical options are poor choices and can be ruled out. Therefore, if the patient desires treatment the two choices are reduced to involved site radiation (SRS) or whole brain radiation. If the patient does not desire treatment or his performance status is deteriorating or low, then observation may be a good option. Otherwise radiation is useful in this situation for symptom control and palliation.

If WBRT is selected, the next question is what dose? Commonly used doses are:

The best and most appropriate treatmetn for this patient would be either SRS alone or whole brain radiation therapy at either 3 Gy/fraction in ten fractions to 30 Gy or 4 Gy/fraction in 5 fractions to 20 Gy. Alternatively SRS to the single metastases is reasonable, given his desire to avoid further systemic therapy and expected systemic progression of disease. Generally, 20 Gy at 4 Gy/fraction is more toxic in late effects, but these effects take 4 to 6 months to manifest. When life expectancy is short, then a quicker course will control the disease sufficiently while preserving the patient's time away from therapy. The increased risk of leukoencephalopathy with short fraction schemes should be balanced against life expectancy. The ACR ranks WBRT 30 in 10 fractions as appropriateness 8, over a single fraction SRS (7)

Longer time course have not been shown to be superior to 30 Gy in 10, thus 40 Gy in 20 fractions (4 weeks) has been rated as a 1, the lowest of the usually not appropriate ACR criteria. Likewise, 37.5 Gy at 2.5 Gy in 15 fractions may be appropriate, but no study has demonstrated this.

In selecting a dose/fractionation scheme for palliative RT the RPA classification for metastases may be considered with RPA Class 1 (KPS ≥ 70, primary controlled, no other extra-cranial mets) median survival 7.1 months, RPA Class 3 (KPS < 70) 2.3 months and RPA Class 2 (all others) 4.2 months.

SRS has the advantage of a single fraction treatment, with dose based on size of tumor. Tumors < 2 cm generally get 24 Gy, 2-3 cm 18 Gy and 3-4 cm 15 Gy. Therefore, in the present case, a single dose between 24 Gy and 18 Gy may be as appropriate as whole brain RT in 10 fractions. His lesion is 2 cm and a dose of 24 Gy would be reasonable with an ACR appropriateness score of 7, usually appropriate.

Case 2

A 54 year old man is newly diagnosed with biopsy confirmed metastatic small cell lung cancer with mets to lung, bone and liver by PET/CT has additional staging work up. An MRI of the brain demonstrates an asymptomatic left anterior temporal lobe lesion. His performance status is 70, and systemic chemotherapy is planned. He has no prior radiation history.

Next recommendation?

Small cell lung cancer is one of the few diseases where brain radiation has a demonstrated role. Studies with limited stage SCLC have demonstrated a survival advantage with PCI. SCLC metastatic to the brain has an excellent response to radiation therapy. As his systemic disease has not yet been treated, we do not know his potential response to therapy, but studies in extensive stage SCLC have also demonstrated an improved median survival. Therefore, whole brain radiation therapy is quite reasonable in this setting. He has the following options:

Small cell lung cancer is exquisitely radiosensitive, but is generally considered a diffusely disseminating disease, intracranially. It generally presents with multiple occult metastases, therefore focal therapies are generally not appropriate. The ACR scores most therapies which are focal either two aggressive (SRS+WBRT) or inadequate (SRS or Resection with scores of 2 and 1 respectively). Observation is not recommended due to studies that have shown improved survival with both prophylactic and therapeutic radiation to the CNS in the setting of at least a partial clinical response to therapy. Therefore, observation would not be appropriate in a 54 year old gentleman who has a reasonable performance status (KPS=70).

Dose/fraction schemes are well discussed. 20 Gy in 5 fractions may be appropriate, but a small fraction of these patients do survive longer than six months, therefore this may be too aggressive a schedule, particularly in light of the German dose/fractionation study. Likewise, no benefit has been shown in protracted whole brain radiation therapy, thus 40 Gy at 2 Gy/fraction is not usually appropriate.

The best course of therapy for this patient is whole brain radiation therapy. The most appropriate dose/fractionation is 30 Gy in 10 fractions at 3 Gy/fraction or alternatively, depending on overall health and life expectancy, as well as overall extent of disease, 37.5 Gy at 2.5 Gy/fraction in 15 fractions. The choice between 37.5 Gy and 30 Gy is a matter of clinical judgement although it is possible that a lower dose/fraction may be reasonable given his young age, overall performance status. If there are any barriers to treatment (transportation, distance, social factors) the 30 Gy would be quite reasonable.

Case 3

This is a 68 year old woman with a history of esophageal cancer who was previously treated with chemotherapy and radiation therapy followed by surgery. She has no evidence of extracranial disease. She presents with a headache. An MRI is obtained which demonstrates a 5 cm lesion in the right frontal lobe with a 15 mm midline shift.

Next step?

Start steroids. Usually dexamethasone is the steroid of choice. There is some debate on what is the most appropriate dose, with patterns of practice ranging. Generally 4 mg Q6h is reasonable, although there are some who advocate for lower and higher doses. In some centers, particularly with a symptomatic brain met with significant edema, a loading dose of 10 mg is given, followed by 6 mg Q6h.

She is given 4 mg q6h and his symptoms resolve with a KPS 90. Next step?

This is a single metastases, controlled primary, high performance status. Her RPA category is I, indicating a significantly longer median survival at 7.2 months. She also has a midline shift in an accessible area. Her options are:

This patient is a surgical candidate and needs prompt correction of a lesion causing mass effect and mid-line shift. Surgical intevention is the fastest way to do this. Therefore surgical intervention is required unless the patient refuses surgery. If the patient refuses surgery, then whole brain radiation may be considred appropriate in either 30 Gy or 37.5 Gy doses at conventional fractionations. An RTOG study however, demonstrated that surgery followed by whole brain radiation therapy improved outcomes. Thus there is only one real choice, assuming the patient is a surgical candidate and is willing to undergo surgery.

Case 4

This patient is a 48 year old man who had a left upper lobe resection for non-small cell lung cancer about a year earlier. He presents with a 3 cm right frontal libe lesion. A restaging workup showed no evidence of extracranial disease.

What is the next best step?

He should be referred to neurosurgery for potential resection.

Neurosurgery was feasible and recommended. He underwent surgical resection with a complete (R0) resection. This was confirmed by an MRI scan 24 hours post-operatively. Two weeks later his KPS is 80.

What are his options?

His options include the following:

Observation is not recommended in light of the Patchell study and Phase III clinical trials which demonstrate WBRT after surgical resection demonstrate an improvement in local control as well as other intra-cranial metastases. There is no need for SRS since the lesion has been resected and the risk of failure is distant as well as local. The ACR suggests that SRS alone may be appropriate with a ranking of 5 (May be appropriate). Others think SRS after craniotomy is superfluous and does not add to whole brain radiaiton in the setting of resection of the primary metastasis. In any event, there is no Phase III trial demonstrating superiority over WBRT.

The generally accepted recommendations are WBRT alone after craniotomy. If whole brain RT is used, the standard fraction schemes of 30 Gy in 10 fractions or 37.5 Gy in 15 fractions are commonly used, reasonably safe and accepted. 20 Gy in 5 fractions may be too toxic if life expectancy is greater than 6 months, which based his overall clinical picture is likely, especially if the GPA assessment of Spurduto is considered. 40 Gy in 20 fractions may be appropriate. The ACR scores this as a lower level of "may be appropriate" with a score of 4, but it is not clear that this dose/fraction scheme is appreciably better (or different) from 37.5 Gy in 15 fractions or 30 Gy in 10 fractions.

Case 5

This case is a 35 year old woman with metastatic breast cancer with multiple bony metastases and a 3 cm left parietal lesion. Her disease is progressive on multiple lines of chemotherapy and hormonal therapy. She underwent craniotomy with a subtotal (R2) resection. The R2 resection was confirmed on post-operative MRI. Her performance status in KPS 90. What are her options and clinical factors in determining the best option for her?

Her KPS is presently 90, age 35, but she has progressive, refractory disease. This places her in RPA Class II (median survival estimated at 9.8 months, breast RPA). Considering the GPA assessment of Spurduto, her age is < 50 (Score 1), KPS 90 (Score 1), she has a solitary metastases (score 1) and she has progressive systemic disease (score 0). Her GPA score is 3.0. Using the Breast GPA score her median survival is 10.3 months, thus it is likely she will live long enough to see some side effects of cranial radiation. Her options are:

The ACR feels that SRS alone after resection may be appropriate (score 6), but expresses concern that given the longer median survival, she may live long enough to develop additional intra-cranial mets if WBRT is omitted.

Since the patient had a sub-total (R2) resection, some recommend SRS + WBRT (score 8, usually appropriate) to maximize local control probability. For the whole brain recommendations, 30 Gy in 10 fractions and 37.5 Gy in 15 fractions is generally recommended at the same score as SRS + WBRT (score 8) with 20 Gy and 40 Gy discouraged as usually not appropriate due to the excessive late toxicity of 20 Gy in 5 fractions and the prolonged treatment regimen of 40 Gy in 20 fractions with no demonstrated benefit in studies to date.

For this young patient with a longer expected median survival based on Breast RPA and GPA, either whole brain radiation or SRS + WBRT is recommended. A dose of 30 Gy in 10 fractions or 37.5 Gy in 15 fractions is reasonable and reasonably expeditious, without excessive late toxicity of treatment. A resection is unlikely to achieve the goal of complete resection as it failed to achieve this in the first craniotomy and there is concern for toxicity of surgery. Alternatively, SRS + WBRT is reasonable and can be achieved with minimal additional toxicity. WBRT is added since there is increased likelihood of developing additional intracranial mets given the relatively longer prognosis.

Case 6

This patient is a 49 year old woman who is a non-smoker who has been diagnosed with a 2 cm left upper lobe NSCLC without hilar adenopathy or mediastinal adenopathy. As part of her staging workup an MRI of the brain demonstrated a 2 cm right frontal lesion. Abdominal CT and bone scans were negative, KPS 90 and she is completely asymptomatic.

What are her treatment options and prognosis?

Her RPA class is 1. She is under 65, has excellent performance status and at least on first blush, an excellent prognosis for local control. Thus by the RPA assessment her median survival is 7.2 months. Using the GPA, her score is 1 (age < 50), 1 (KPS ≥ 90) 1 (no extra-cranial mets — primary only) 1 (solitary brain metastases). Thus her GPA is 4.0, the highest and best possible score, with a GPA median survival of 11.0 months.

Her treatment options include:

This woman has a reasonably long life expectancy, her disease status notwithstanding. SRS ± WBRT is very reasonable, as is surgical resection followed by WBRT. ACR rates these options very highly as usually appropriate with a score of 8. For SRS, the ACR considers SRS alone only slightly less appropriate with a score of 7. Surgical resection alone and standard dose/fractionation WBRT is scored as 5, may be appropriate. Observation is given the lowest score of 1 usually not appropriate, given her otherwise good intermediate prognosis. Short fraction and long fraction whole brain treatment is also not felt to be appropriate by the ACR due to toxicity (short course) and lack of demonstrated efficacy (long course).

Case 7

This case is a 42 year old woman who had a history of renal cell carcinoma, diagnosed 6 years earlier and treated with nephrectomy. She now presents with a 1 cm lesion in the right lateral cerebellum seen on an MRI obtained for unrelated head trauma.

What is the next recommendation?

The lesion is probably renal cell cancer, but is amenable to stereotactic biopsy. A biopsy was performed and pathlogy was consistent with renal cell cancer.

Next, a staging workup is indicated, with a CT of the chest, abdomen and pelvis and a bone scan. These were negative for metastatic disease. Her KPS is 90. What are her options?

Her options are:

This case is similar to the previous one. Young patient, good performance status, no systemic disease: RPA Class I and GPA score 4.0 with an expected MS of 7.2 - 11 months (RPA and GPA series respectively). Therefore the ACR considers decision-making appropriateness similarly. From the commentary it is not completely clear why resection + SRS to the cavity is ranked higher at 6 (may be appropriate), over 5 (may be appropriate) in this situation compared to the prior case. From their discussion on Surgery + SRS, they discuss a study of 112 patients with an improved 1 year local control at 80%, and a 1 year distant intracranial recurrence at 64%. With a 3% expansion v 16% local control rate without expansion. 54% had distant failures at 1 year.