Pediatric High Grade Astrocytomas

Epidemiology

High grade astrocytomas consist of anaplastic astrocytomas (AA) and glioblastoma multiforme (GBM). These are classified as WHO Grade III and IV respectively. High Grade Gliomas (HGG/HGA) account for about 5% of pediatric CNS malignancies and are more common in older children, and adolescents. Two thirds are found in the cerebral hemispheres. The remainder are equally distributed between deep midline structures of the thalamus and basal ganglia and the cerebellum.

Pathology

Anaplastic Astrocytomas include nuclear atypia, increased cellularity and increased proliferative activity but without necrosis. GBM exhibits necrosis, vascular thrombosis and microvascular proliferation.

Natural History

High grade gliomas (anaplastic astrcytomas -- WHO Grade III, and glioblastoma multiforme -- WHO Grade IV) tend to be aggressive and diffusely infiltrating, with significant proliferative activity. Both AA and GBM can develop from low grade (Grade II) astrocytomas. With the exception of pontine originated tumors, they nearly always arise in the pediatric group de novo without evidence of a prior lesion.

Patients usually present with a rapid onset of symptoms over weeks or less. Symptoms are related to the site of involvement.

Clinical Workup and Evaluation

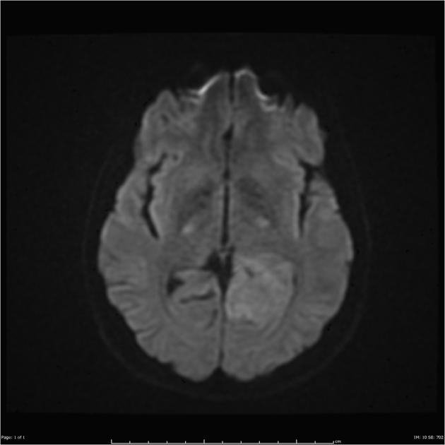
After a careful H&P with attention to neurologic symptoms, time of onset and rate of increase, imaging is critical to localization and diagnosis. Surgery, including a complete debulking if possible is the first line treatment, and sets the stage for the next step. Imaging is predominantly MRI based, with T1 ±gad, T2, FLAIR, diffusion weighted, and gradient echo sequences to identify and localize the extent of disease. Surgery is used to debulk the tumor completely if possible, and if not to obtain tissue for diagnosis.

Imaging

AA T1 without gadolinium
AA T1 with gad
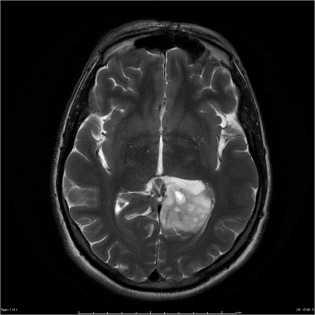
T2 Anaplastic Astrocytoma
AA FLAIR
AA DWI
AA Gradient Echo

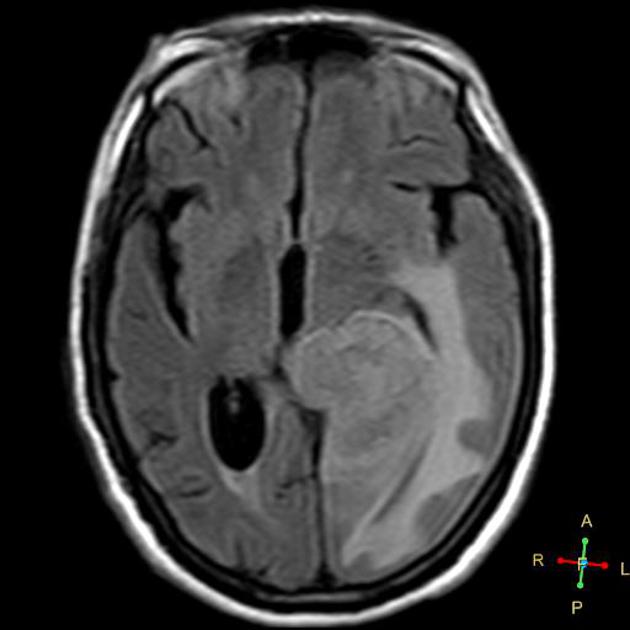
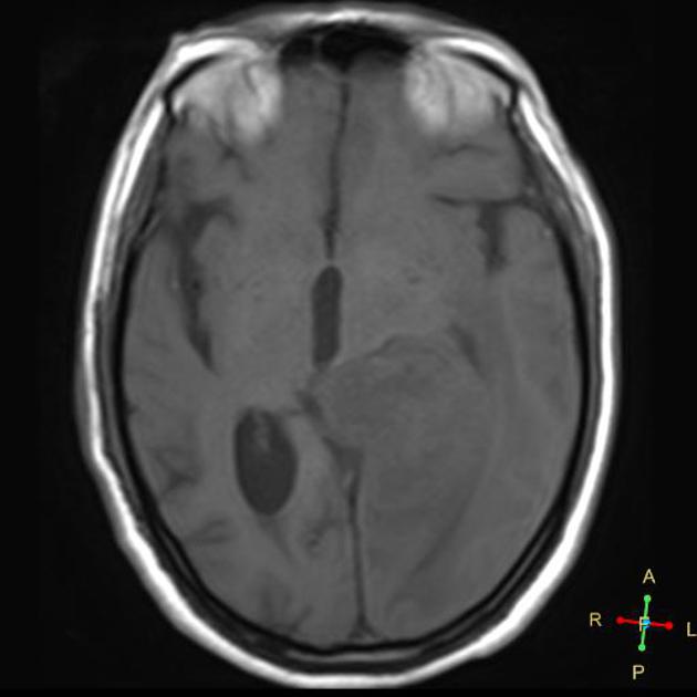
GBM T1 without gadolinium
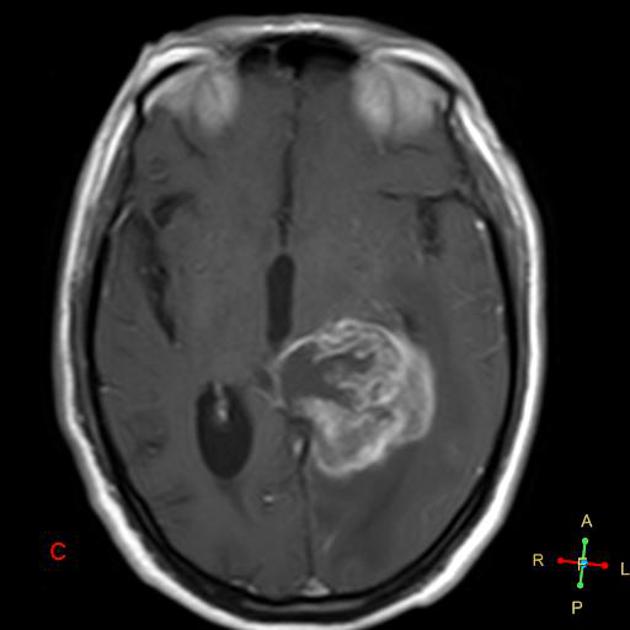
GBM T1 with gad
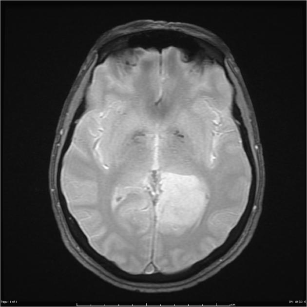
GBM T2
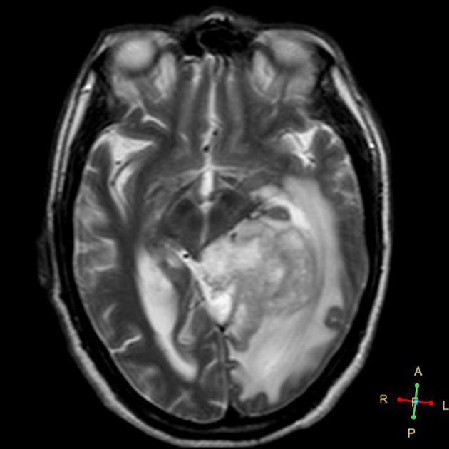
GBM FLAIR

Radiopedia has a great collection of imaging sets with more details for these diseases.

General Management and Treatment

Surgery is an important component of treatment. Most studies show a survival advantage with complete resection. Maximum possible resection with the goal of preserving good neurologic outcome is desired. A second surgical procedure should be considred if there is significant residual disease after the initial surgical resection. Post-operative radiation therapy is ALWAYS indicated. The predominent failure pattern is local and the radiotherapy target volume is local. Leptomeningeal disease is seen in 10% to 30% of patients, but the failure pattern remains local.

The role of chemotherapy is as of yet, undefined. Ongoing research has demonstrated response to many different agents, invariably, small numbers of patients are seen, with inconsistent inclusion criteria (pathology), uncontrolled confounding factors such as tumor location and extent of resection. EU and NA (North American) groups are studying chemotherapy, but as of now (2014) the use of the "current best" agent is recommended as temozolomide, based on adult studies.

Radiation Therapy Treatment Planning And Techniques

Radiation therapy is always used post-operatively. The general treatment patterns follow the adult course of radiotherapy with a lower dose to the edema plus a margin followed by a reduced volume boost after 50-54 Gy. The final dose should be at least 54 Gy but final doses of 59-60 Gy are more usual if possible. There is no evidence that dose escalation beyond 60 Gy is beneficial, using SRS, stereotactic boost, brachytherapy boost or hyperfractionated radiotherapy result in improved outcomes. IMRT may be beneficial because of "dose-painting" which may allow simultaneous integrated boost, decreasing overall treatment time. This has not been proven in studies or practice.

Radiotherapy General Fields

The treatment fields for HGG in pediatrics, similar to adults is the imaging enhanced region plus a margin. The initial GTV is the MRI T2 abnormality (edema). The initial CTV = GTV + 1.5 cm, corrected for anatomical barriers. The usual dose to this volume is 50.4 - 54 Gy at 1.8 Gy/fraction. The second GTV (boost GTV) is the T1+gadolinium enhancement. The second CTV=GTV+1 cm. This is then carried to 59.4 Gy.

Summary Radiation fields for HGG:

  • initial GTV = T2 or FLAIR mri image
  • The CTV is the T2 GTV+1.5 cm margin, with corrections for anatomical barriers (⇒ 50-54 Gy)
  • The final GTV = T1+ gad image
  • The final CTV = GTV (final) + 1 cm margin (⇒ to 59.4 Gy)

Outcomes, Patterns of Failure, Prognostic Indicators

The prognosis for children is poor. Similarly to adults, the median time to progression is 10 - 11 months with an OS5 of around 20%. Several factors have been correlated with outcome:

Side Effects and Complications of Treatment