Pediatric Ependymomas

Epidemiology and Natural History

Ependymomas are the third most common pediatric CNS tumor. About half the cases occur in children under y. They can occor at any site in the ventricular system or spinal canal. In children, about 2/3 arise in the ependymal lining of the 4th ventricle. Tumors generally present with increased ICP. The tumor is usually large and well circumscribed, displacing, rather than invading structures. These tumors can and do extend through the foramen magnum into the upper cervical cord.

Supratentorial ependymomas can arise outside of the ventricular system. They present with neurologic deficits. Intramedullary ependymomas account for 30% of all spinal cord tumors of childhood. These tumors present with focal neurlogic changes including sensory deficits due to central location within the cord and later with pain and motor deficits.

Pathology

Ependymomas are graded by the WHO in to 3 grades:

  • WHO Grade I: myxopapillary Ependymoma
    • low grade with leptomeningeal involvement sometimes
    • filum terminum the most common site
    • MRI of CNS axis necessary because of the potential for leptomeningeal spread
    • Surgery is treatment of choice unless metastatic with R0 resection the goal
    • Radiation role is unclear. A significant portion do recur locally, but re-resection or radiotherapy salvage is usually possible
    • If surgery cannot be accomplished en bloc or macroscopic residual remains, post-op radiation improves local control
    • If RT is used, the target is local (GTV+1.5 cm to 50.4 Gy)
    • If leptomeningeal seeding → CSI → boost
  • WHO Grade II: Ependymoma
    • Soft, frond-like glial tumors which are moderately cellular
    • Ependymal rosettes are pathognomic for ependymoma
    • They arise form de-dedifferentiated ependymal cells lining the ventricles of the brain and cord
  • WHO Grade III: Anaplastic ependymoma
    • malignant glioma of ependymal differentiation
    • high mitotic rate with microvascular proliferation
    • pallisading necrosis

Clinical Workup and Evaluation

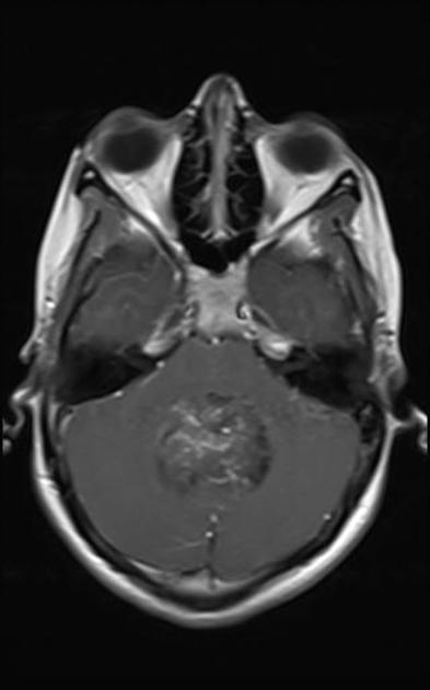
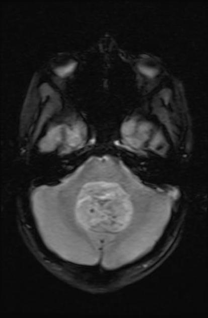
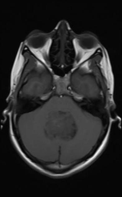
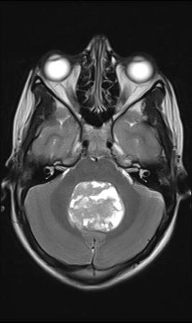
A comprehensive history and physical and MRI imaging of the CNS axis is required. The MRI typically shows a posterior fossa mass which is hypointense to iso-intense on T1 series. It is hyperintense (white) to white matter on T2 series. T1/gad shows heterogeneous enhancement and CT shows calcifications. Once the imaging series is obtained, CSF sampling (particularly in anaplastic Grade III) should be obtained to rule out leptomeningeal seeding. CSI may be required in anaplastic ependymoma.

Ependymoma Gradient Echo
Ependymoma T1 no contrast
Ependymoma T1 gad
Ependymoma T1/gad/FS
Ependymoma T2 sagital
Ependymoma T2

General Management and Treatment

The completeness of resection is the determining factor on the outcome. Complete resection of 70% to 90% of supratentorial ependymomas and spinal ependymomas is achieved. Posterior Fossa complete resection rates are lower with residual tumor left on the floor of the fourth ventricle or in the cerebellar-pontine angle where the tumor protrudes through the foramen of Luschka. This is more frequent in unstable young children or after chemotherapy. Post-operative radiation therapy is the standard of care for all children with ependymoma.

There have been questions about the need for radiation in children with complete resections but a number of studies have suggested that outcomes are worse in children who do not get post-operative radiation therapy (DFS, OS, long term morbidity all worse without radiation). Delayed radiation in younger children still resulted in worse outcomes. Thus radiation can only be omitted in those patient with ependymoma of the spinal cord, with a complete resection for whome DFS is close to 100% and select supratentorial lesions in non-eloquent regions that can be resected with a wider margin.

Chemotherapy

The role of chemotherapy is undefined. There is some evidence of effect, but more recent infant studies where chemotherapy was used as a means to delay radiation until the patient was older (baby-POG) or avoid radiation, half progressed on chemotherapy. Prolong use of chemotherapy and a delay in delivery of radiation of more than 1 year led to worse overall survival. Most now recommend radiation therapy post-operatively in all infants older than 1 years.

Radiation Therapy Treatment Planning And Techniques

Treatment Volumes

Local radiation is the accepted standard for treating ependymomas. The GTV is defined as the composite of the tumor bed, including caudal extension to the foramen magnum, accounting for anatomic shifts due to surgery plus any residual tumor. St. Jude used a 1 cm margin around the GTV to create the CTV. The St. Jude study showed excellent local control with local failures of only 7.8% using this technique in patients who had gross total resections. All failures for patients who had less than GTR (who did do worse) were within the 95% radiation isodose volume. Presently COG is using a 0.5 cm margin on study.

CSI (anaplastic Grade III ependymoma)

CSI was previously the standard of care. More recent POG prospective studies have suggested that there is no survival advantage to adding CSI.Thus the target volume for treatment of anaplastic disease is GTV+1 cm, unless the patient has confirmed leptomeningeal spread (CSF or Imaging positive disease). In the case of leptomeningeal spread, CSI is delivered (dose = 36 Gy), boost GTV+margins to 54-55 Gy and if safe, to 59-60 Gy.

Dose

There is evidence of a dose-response for ependymomas. Improved tumor control was found with dose > 45 Gy to 50 Gy, up to 54 Gy. The current standard dose is ≥ 54 Gy for children older than 18 months with infra- or supra-tentorial tumors. If there is macroscopic residual disease, a decreased volume boost beyond 54 Gy may be desireable, respecting cord tolerance or other critical structures, carrying a final dose to 59.4 Gy. HFRT has not been shown to provide a benefit, although it was felt to be feasible.

Recurrence

For patients who fail standard treatment, with either local recurrence or leptomeningeal disease (less frequent), re-treatment with radiation is an option that may result in durable control in a portion of patients.

Outcomes, Patterns of Failure, Prognostic Indicators

Contemporary studies report DFS with anaplastic ependymoma in the range of 30% to 45% in the 3-5 year time frame. With a higher rate of gross resection (St. Jude) EFS at 7 years was 63% and OS was 71.8% Patients with leptomeningeal spread do less well, and generally fare poorly even with comprehensive CSI, best possible surgery and chemotherapy.

Side Effects and Complications of Treatment